Gout Interview with Dr. Scott Saunders
Common Gout Questions:
What exactly is gout?
Who is at risk of getting gout?
Can non-steroidal anti-inflammatory drugs treat my gout?
Does the Gout Remedy Report really work?
Why are natural remedies better than traditional remedies?
Testimonials:
Dr. Steve Rohde from Ann Arbor, MI
Hi, I read this report last week during a gout episode.
The Colchicine, Celebrex, Probenicid, and Allopurinol weren't doing much and they definately are not a cure for gout.
I started your gout natural remedy on Tuesday PM and by Wednesday my gout symptoms and pain were gone! You really have discovered a natural gout treatment solution.
Incredible! I plan to continue with your gout remedy system.
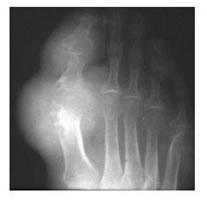
How To Tell If You Have Gout

The #1 most common symptom of gout is extreme pain, swelling, throbbing and heat in the joint of your big toe.
Gout symptoms often begin in the big toe because blood flow is the lowest in the most distant extremities, particularly the toes. Gravity makes it more difficult for the body to carry the uric acid crystals away from that area.
The initial attacks often happen at night because the heart rate is much lower during sleep.
Other Gout Symptoms Include:
- Multiple attacks of acute arthritis
- Arthritis attacks that develop over the course of an extremely quick time (e.g., over the span of 12-24 hours with inflamed, painful, red, and hot joints)
- Arthritis attack that affects only one joint; most often affecting the toe, ankle, or knee. The first attack of gout most often affects the joints of the big toe. In fact, gout is thought to affect the big toe of 75% of all patients during the course of the disease.
- Additionally, the affects of gout can be found in other joints such as the elbows, fingers, heels, instep, and wrists.
- Fever and chills
- Limited range of movement in the affected joint

Gout is one of the most painful diseases a person can be afflicted with. Taking the litany of medications that are prescribed by most doctors quickly becomes tiresome.
Many gout sufferers often begin looking for natural ways to successfully treat gout.
Luckily... There are many natural home remedies that can help with gout pain!
This is why I've taken the time, with the help of many researchers and doctors to create my natural gout remedy report.
The Gout Remedy Report not only provides remedies to help with the pain, it shows you what you can do to reduce the chances of it coming back.
On the next page, I'll show you some of the "traditional" ways people deal with their Gout and how natural remedies compare. Click "Next Page" to continue now!
